본문

글쓰기   목록 | 이전글 | 다음글

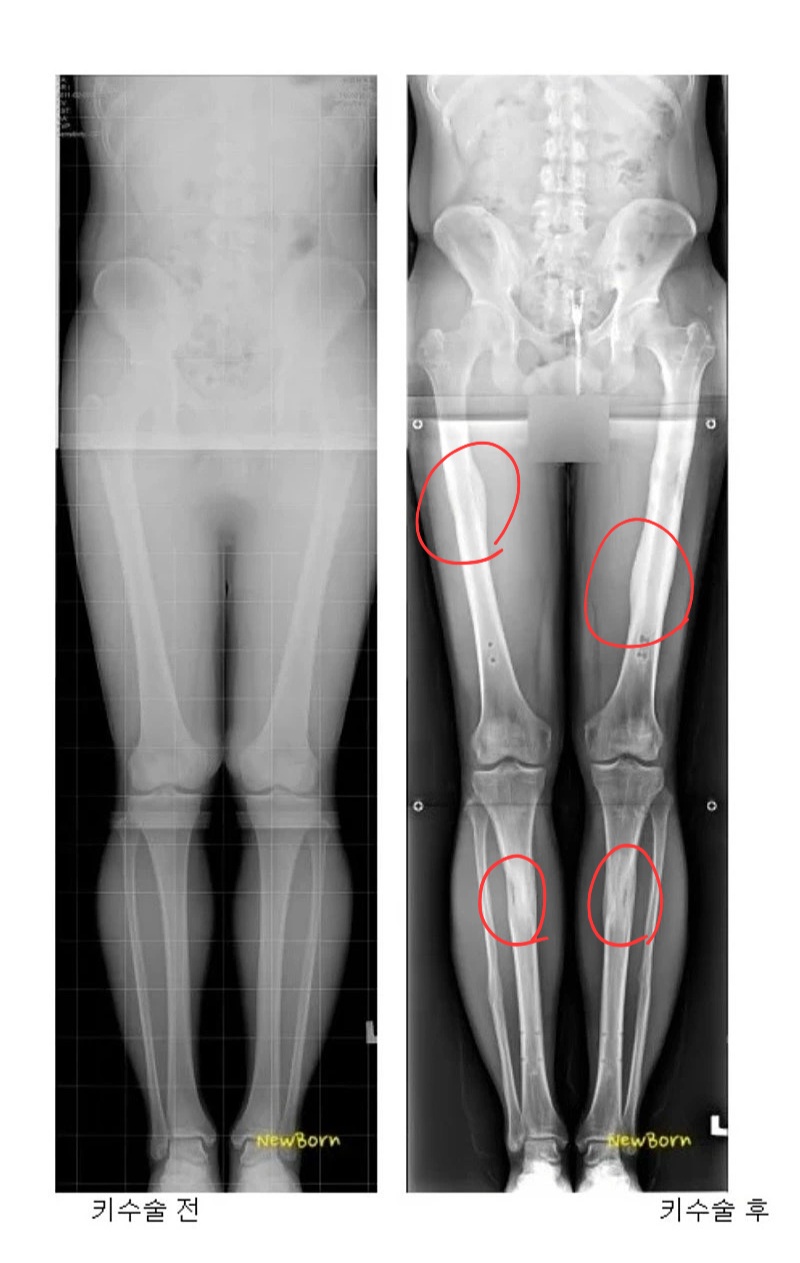
[유머] 어마무시 하다는 키 13cm 연장술...ㅎㄷㄷ;; [82]


profile_image

profile_image (5868405)
102 | 82 | 38015 | 비추력 33326
프로필 열기/닫기
글쓰기
|
목록 | 이전글 | 다음글

댓글 | 82
1
 댓글


(IP보기클릭)121.187.***.***

BEST
키 연장술 부작용 존나 쎄다하지 않았나? 근육이랑 힘줄이 뼈 성장속도 못따라잡는다고 뉴스 본적있는데
26.01.29 08:11

(IP보기클릭)106.101.***.***

BEST
그걸 감안해도 성인이되서 160대 키로 사는게 더 힘든가봄... 키가 콤플렉스면 어쩔수 없지 본인선택임
26.01.29 08:16

(IP보기클릭)223.39.***.***

BEST
나중에 고생할거 같아 ㄷㄷㄷ
26.01.29 08:10

(IP보기클릭)121.133.***.***

BEST
5~6cm 도 꽤 신체에 부담가고 영향있을거 같은데 13, 18이면 ㄷㄷ;;
26.01.29 08:11

(IP보기클릭)183.104.***.***

BEST
평생 달리기 안될듯
26.01.29 08:12

(IP보기클릭)118.235.***.***

BEST

26.01.29 08:14

(IP보기클릭)211.234.***.***

BEST
아프겠는데
26.01.29 08:09

(IP보기클릭)211.234.***.***

BEST
아프겠는데
26.01.29 08:09

(IP보기클릭)118.235.***.***

아스포데

말도 못하게 아프다고 씻/팔!!!!!!!! | 26.01.29 08:14 | | |

(IP보기클릭)223.39.***.***

BEST
나중에 고생할거 같아 ㄷㄷㄷ
26.01.29 08:10

(IP보기클릭)210.222.***.***

난 무서워서 못 할 듯...😭
26.01.29 08:10

(IP보기클릭)211.234.***.***

끝없는 이야기
ㅇㅈ... | 26.01.29 12:54 | | |

(IP보기클릭)211.250.***.***

부자들이 한다면, 나도 해보고 싶다
26.01.29 08:10

(IP보기클릭)121.176.***.***

왼다리 오른다리 길이 안맞을수도 있다는데 서면
26.01.29 08:11

(IP보기클릭)121.187.***.***

BEST
키 연장술 부작용 존나 쎄다하지 않았나? 근육이랑 힘줄이 뼈 성장속도 못따라잡는다고 뉴스 본적있는데
26.01.29 08:11

(IP보기클릭)112.222.***.***

전자바코드
못따라감. 대표적인 부작용중 하나라서 유연성이 선천적으로 안좋은 사람들은 평생 까치발 들고 살아야 하거나 인대랑 근육 늘리는 수술도 해야하는 사람도 있음. | 26.01.29 08:15 | | |

(IP보기클릭)118.235.***.***

전자바코드
키 성장이라는게 뼈만 냅다 커지면 되는게 아니라 전체적인 신체구조 자체가 다같이 성장하면서 커지는 구조인데 뼈만 성장시켜두면 당연히 다른 신체구조들 입장에선 이게 뭔 날벼락인가 싶을수밖에 | 26.01.29 08:15 | | |

(IP보기클릭)221.147.***.***

전자바코드
ㅇㅇ 그래서 운동기능 엄청 떨어짐 운 나쁘면 장애 생길 수도 있다지만 그건 말 그대로 실패 케이스라 넘어가고 성공적인 케이스여도 운동선수들은 시도조차 할 생각을 하면 안 됨. 일반인들이야 운동 수행 능력 수십퍼센트 떨어져도 별 문제 없지만, 프로 단위에서는 그냥 프로 자격 박탈 수준의 차이니까 | 26.01.29 08:15 | | |

(IP보기클릭)106.101.***.***

BEST
전자바코드
그걸 감안해도 성인이되서 160대 키로 사는게 더 힘든가봄... 키가 콤플렉스면 어쩔수 없지 본인선택임 | 26.01.29 08:16 | | |

(IP보기클릭)114.204.***.***

전자바코드
내가 찾아본봐론 아마추어보디빌더급으로 관리안하면 나이먹고 골골대고 그렇개 해도 일반인보다 수술부위 신채능력 떨어진다고캄.. | 26.01.29 08:16 | | |

(IP보기클릭)118.235.***.***

전자바코드
잘 뛰어댕기는 사람도 있던데 | 26.01.29 08:36 | | |

(IP보기클릭)106.101.***.***

AEEQQ
특이 케이스는 항상 있지요. 평균적인걸 봐야해서 흑흑 | 26.01.29 08:51 | | |

(IP보기클릭)1.243.***.***

AEEQQ
장애인되는 사람도 있던데 | 26.01.29 09:54 | | |

(IP보기클릭)61.81.***.***

루리웹-2808072976
연장술도 조금 하면 큰 문제가 없는데 저걸 택한 사람들이 조 금 연장할려고 저걸 하진 않지 이게 문제임 | 26.01.29 13:09 | | |

(IP보기클릭)121.133.***.***

BEST
5~6cm 도 꽤 신체에 부담가고 영향있을거 같은데 13, 18이면 ㄷㄷ;;
26.01.29 08:11

(IP보기클릭)183.104.***.***

BEST
루리웹-216802127
평생 달리기 안될듯 | 26.01.29 08:12 | | |

(IP보기클릭)221.147.***.***

田村 麻奈実
성공적인 케이스라는 전제 하에 달리기 같은거 전혀 문제 없음. 다만 기능이 확 떨어짐 예를 들어 원래 10초에 달리던걸 회복해도 15초에 달리게 된다던가 그런 식 | 26.01.29 08:16 | | |

(IP보기클릭)112.222.***.***

루리웹-216802127
의외로 5~6정도면 영향은 없음. 다만 한번에 늘리는게 아닌 종아리 + 허벅지 각 3cm 정도로 늘리고 재활 활동 빡시게 하고 나면 한 8cm까진 괜찮다더라. 문제는 돈이지. 수술을 총 4번 해야하고 각 수술마다 5천만원 정도 들어가며 + 완치 후 재활까지 길면 2년간 못움직임. 진짜 한이 있는 사람들이 하는 수술임. | 26.01.29 08:17 | | |

(IP보기클릭)112.222.***.***

루리웹-2808072976
아 맞다 수술 총 8번 이구나. 연장 후 뼈에 박아 넣은 구조물 제거 수술까지 하면 총 8번 수술에 치료+ 재활만 3년 반이네. | 26.01.29 08:20 | | |

(IP보기클릭)121.158.***.***

루리웹-216802127
5~6cm 별거 아니라는건 한심한 착각임. 근거없이 하는 헛소리. 너희들 태권도 가서 다리째기, 하는거 끔찍하지? 그게 근육기준 4~5cm 증가다. 그걸 평생하고 있게 되는거야. | 26.01.29 08:34 | | |

(IP보기클릭)121.133.***.***

가장슬픈곰
영향 없다한건 내가 아닌데 왜 나한테;; | 26.01.29 08:38 | | |

(IP보기클릭)1.216.***.***

루리웹-216802127
ㅋㅋㅋ 아호이 | 26.01.29 08:50 | | |

(IP보기클릭)112.222.***.***

가장슬픈곰
부위별 3cm 정도는 괜찮다는게 의사들 의견임. 일상생활 문제 없고 운동능력도 엘리트 선수들 기준 아니면 문제 없다 했음. 마지노선이 4cm라 그 이상 부터는 부작용 각오 하라는 소리 들었고. 그리고 3cm 근육 늘어나는거 정도는 괜찮아. 특히 허벅지랑 종아리는 사람의 근육중 가장 튼튼하고 거대한 근육중 하나임. 한번에 다리 찢기 하듯이 늘리는게 아니고 천천히 늘려서 적응 시키는거라 오히려 근육은 문제 없어. 신경계가 문제인거지 | 26.01.29 08:53 | | |

(IP보기클릭)61.81.***.***

루리웹-2808072976
보통 저걸 택하는 사람들이 5-6할라 저걸하지 않는게 문제지 5-6센치는 보통 큰 문제가 안생기긴 함 10이상이 문제고 대부분 10이상 할라고 옴 | 26.01.29 13:10 | | |

(IP보기클릭)112.222.***.***

홋홋아짐맛
보통은 그렇지. 키에 한이 쌓인 사람들이 하러 오는건데. 6정도에서 만족하기엔 돈도 엄청 비싸고 시간도 무지막지하게 걸림. 10 이상 하려는게 이해됨. | 26.01.29 13:45 | | |

(IP보기클릭)106.245.***.***

제대로 생활할 수 있다면 대성공 아닌가
26.01.29 08:11

(IP보기클릭)118.235.***.***

잘못하면 걷지도 못한다던데 괜찮은가...
26.01.29 08:12
파워링크 광고

(IP보기클릭)203.247.***.***

나중에 시간 지나도 부작용 안올려나 좀 걱정되네
26.01.29 08:13

(IP보기클릭)112.156.***.***

현실에 잭 해머가
26.01.29 08:13

(IP보기클릭)210.100.***.***

저렇게 해서 멀쩡히 걷고 뛰고가 가능한가??
26.01.29 08:13

(IP보기클릭)118.235.***.***

시드tlem
멀쩡하게 걷는 건 그렇다 쳐도 뛰는 건 안될듯... 애초부터 뼈를 자르고 연골조직을 건드리는거라서... | 26.01.29 08:15 | | |

(IP보기클릭)39.115.***.***

나이들면 문제 생길듯
26.01.29 08:13

(IP보기클릭)211.107.***.***

진짜 키에 한이 맺혀서 "평생 휠체어를 타더라도 시도해보고싶다" 같은 각오가 아닌 이상 못 할 듯....
26.01.29 08:14

(IP보기클릭)106.249.***.***

노마지도
수술하는 사람들 마인드가 다 그렇다더라 이대로 사는게 더 힘들고 고통스럽다고 | 26.01.29 08:24 | | |

(IP보기클릭)175.122.***.***

어쩌면 높은대서 뛰어내리는거 같은건 힘들지도...골격이 버틸려나
26.01.29 08:14

(IP보기클릭)118.235.***.***

BEST

26.01.29 08:14

(IP보기클릭)118.235.***.***

촉툴루
재크야... | 26.01.29 08:52 | | |

(IP보기클릭)61.81.***.***

촉툴루
만화래도 이건 좀 무리수긴 했어 인체 재구축 수쥰 | 26.01.29 13:11 | | |

(IP보기클릭)124.50.***.***

홋홋아짐맛

한마의 피를 과학으로 재지맛!!!!! | 26.01.29 13:41 | | |

(IP보기클릭)183.102.***.***

저거 하면 군대도 빠지나?
26.01.29 08:15

(IP보기클릭)117.111.***.***

일로자로프 수술 부작용 장난아닌데
26.01.29 08:16

(IP보기클릭)118.235.***.***


문외한이 봐도 반쯤 망가진거 같은데
26.01.29 08:17

(IP보기클릭)112.165.***.***

나...나 키 165인데 그냥 살게;; 그냥 작은 채로 살게 진짜 무섭다
26.01.29 08:17

(IP보기클릭)182.210.***.***

26.01.29 08:18

(IP보기클릭)1.75.***.***

사회자체가 키작다고 엄청꼽주는 사회여서 저짓까지 하는건가?
26.01.29 08:21

(IP보기클릭)61.97.***.***

18Master
꼽주는거면 차라리 다행 아닌가 싶음 학교다닐때 키큰애들이 작은 애들 손에 안 닿는데에 일부러 물건 숨긴다거나 그런거 본적있어서.. | 26.01.29 08:24 | | |

(IP보기클릭)121.158.***.***

18Master
타인이 주는 꼽보다, 자신이 느끼는 자괴감이 더 큰거. 실제로 타인에 의한 눈치는 적어. 오히려. | 26.01.29 08:35 | | |

(IP보기클릭)61.81.***.***

18Master
여자들 조차도 키작으면 안보니까 얼굴 이전에 키임 기준키 보다 많이 작으면 아주 힘듦 | 26.01.29 13:12 | | |

(IP보기클릭)39.118.***.***

내 친구 저 수술했는데 재활 잘 해서 일상생활 잘 함. 막상 보면 그렇게 티 안나더라고
26.01.29 08:22

(IP보기클릭)39.118.***.***

타타루
친구들끼리 프랑키라고 부름 신체 개조했다고 ㅋㅋ | 26.01.29 08:22 | | |

(IP보기클릭)1.216.***.***

타타루
2억정도들음? 몇센치에서 몇센치됨? | 26.01.29 08:51 | | |

(IP보기클릭)39.118.***.***

탕찌개개개
저정도까진 아닌데 한 1억정도 한 걸로 알음 한 8센티였나 | 26.01.29 10:13 | | |

(IP보기클릭)121.162.***.***

타타루
ㄷㄷ 고생많았네 | 26.01.29 10:50 | | |

(IP보기클릭)222.109.***.***

이렇게까지 키 늘리려는 거 보면 외모차별이 진짜 잔인한 거야... 매력적인 외모 선호는 본능이지만 좀 이런 본능은 극복해보자
26.01.29 08:22

(IP보기클릭)223.62.***.***

현재 인류 의학으로는 유전자 최대키 뚫고 키 자라게? 하는 방법은 저게 유일함
26.01.29 08:23

(IP보기클릭)61.81.***.***

태양별왕자
유전자 개조하것지 결국 할거라 보 외모 지능 다 | 26.01.29 13:13 | | |

(IP보기클릭)118.235.***.***

성공 문제여부를 떠나 걷지도 못하게 되면 안한거 보다 못한건데 아님 원래 키로는 절름발이로 사는거보다 못하다는 마인드로 수술한걸까
26.01.29 08:23
파워링크 광고

(IP보기클릭)118.235.***.***

골밀도 못따라잡아서 평생 못뛰어 나디는걸로 아는데
26.01.29 08:25

(IP보기클릭)61.97.***.***

사람의 내면이 중요하다지만 나를 포함해서 대부분의 사람들은 타인의 내면을 볼수 있는 눈이 없기 때문에.. 결국 외면이지.. 난 개인적으로 응원한다.
26.01.29 08:26

(IP보기클릭)223.38.***.***

심정이 이해는 가지만.. 내구성이.. 안 받쳐줄 거 같은데...
26.01.29 08:35

(IP보기클릭)223.39.***.***

늙어서 골다공증이랑 비오면 쥰나 쑤실꺼같다 ㄷㄷ
26.01.29 08:35

(IP보기클릭)116.40.***.***

인체연성 그거 위험한건데 강연금 안봤나
26.01.29 08:36

(IP보기클릭)106.101.***.***

부작용만 없다면 나도 10센티 늘리고 싶긴함
26.01.29 08:40

(IP보기클릭)220.65.***.***

키 끝내고 보니 얼굴이 걸림돌이 되는데...
26.01.29 08:41

(IP보기클릭)211.232.***.***

사람들은 생각보다 너에게 관심이 없다
26.01.29 08:44

(IP보기클릭)223.39.***.***

못생기면 욕하고 비하해도 되는 사회니 성형하는거고 키작으면 루저나 얕잡아도 되는 사회니 저렇게 수술하는거겠지. 노력으로 안되는걸로 놀리는건 당연한 취급하는데 그걸 노력으로 극복하려하면 어리석은 취급하는것도 이상하긴 해
26.01.29 08:47

(IP보기클릭)1.231.***.***

AKS11723
진짜 이거 안 당해본 사람은 모름. | 26.01.29 09:43 | | |

(IP보기클릭)210.99.***.***

13cm몸에 무리 장난 아니겠다
26.01.29 08:48

(IP보기클릭)220.76.***.***

미국에서 최대 약 21 cm 이상 늘렸던 경우도 있었데 수술 후 일상생활 가벼운 경보 가능 수영 가능
26.01.29 08:54

(IP보기클릭)211.235.***.***

168이면 5,6센티만 늘려도 충분하지 않나. 늘리지 않고 그냥 살아도 괜찮을키인데 빡세게 늘렸네
26.01.29 08:57

(IP보기클릭)220.88.***.***

팔까지 늘리는거 아니면 비율 겁내 이상할건데
26.01.29 09:02

(IP보기클릭)61.72.***.***

저런 수술은 길게봐야될거 같은데
26.01.29 09:06

(IP보기클릭)118.235.***.***

본인 선택이지만 168cm면 고민 많이 되었을것 같다.
26.01.29 09:18

(IP보기클릭)220.76.***.***

이수술 최대 단점이 연장한 부분 뼈가 너어무 약함 골조가 튼튼치 못하여 무너질 가능성이 늘 있음
26.01.29 09:31

(IP보기클릭)59.9.***.***

저렇게까지하면서 살고싶진 않아.
26.01.29 09:32

(IP보기클릭)106.101.***.***

저정도면 완전 도박인데 ㅋㅋㅋ
26.01.29 11:00

(IP보기클릭)121.133.***.***

내 친구가 재생쪽 물리치료사라 저런 환자 몇명 봤다는데 저거 가까이서 보면 비율이 괴상해져서 사람들 눈치도 겁나 보인다더라 근데 키가 트라우마인 사람들은 일단은 행복해한데 ㅋㅋㅋ ... 점점 몸이 아파서 물리치료 받으면 그때부터 점점 후회한다데...
26.01.29 11:45

(IP보기클릭)211.215.***.***

평생 스쿼트는 못하겠지?
26.01.29 13:05

(IP보기클릭)106.102.***.***

나도 돈있고 시간 여유있으면 생각해볼것 같음 쪼그미로 사는게 생각보다 괴롭다
26.01.30 10:34


1
 댓글




목록 | 이전글 | 다음글
X