안녕하십니까 티타늄맨입니다.
오늘은 척추 변형증에 대해 얘기해볼까 합니다.
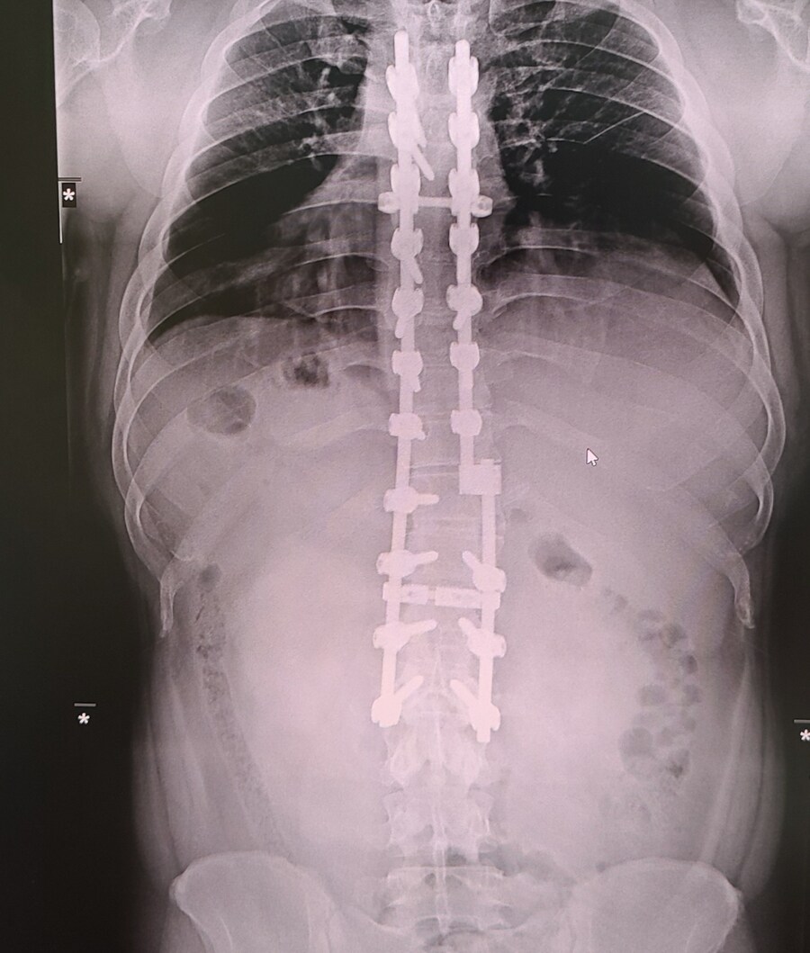
저는 척추후만증 즉 척추가 앞으로 휘는 병입니다.
보통 측만증이 많이 알려져있는데 저는 굉장히 희귀한 케이스였습니다.
후만증도 보통 후만증이 아니고 제대로된 병명도없는 극극극극극후만증이었습니다.
얼마나 답도 없었냐 하면 후만증의 진행이 너무 빨라 내부 장기들이 적응하지못하고 다 터져버릴정도의 극한의 후만증이었습니다.
그래서 장기가 터지냐 척추가 터지냐의 환경에서 겨우 수술받고 살아난 케이스입니다.
그런 제가 상식적으로 많이 다르게 알려진 척추변형증에 대해 얘기해볼까 합니다.
다른 환자들의 글을 보면 아... 어렸을떄 자세좀 바르게할걸
앉을떄 바르게 앉아있을걸
다리 꼬고 앉지말걸
등등 본인 탓을 하는 경우가 많습니다.
그것은 정말 극히 일부만 맞는 얘기입니다.
물론 자세가 잘못되서 허리가 휠수도 있습니다.
논문에도 기재되어 있습니다.
그렇지만 자세만이 모든걸 결정하는건 아닙니다.
오히려 자세가 정말로 영향이있냐? 하는 논문까지 나올정도입니다.
즉 척추변형증이 일어나는 이유는 아직까지도 불명입니다.
그렇기때문에 자세라도 바르게하라는 말이 나오는거지, 결코 자세가 잘못되서 너의 척추가 휘었다 라고 말할수 없는것입니다.
척추가 휘었을떄는 운동으로 교정도 물론 할수있습니다.
김종국님 급으로 운동할수 있다면 말입니다.
그외에는 병원에서 진행하는 교정시술이나, 교정기구에 힘을 빌리거나
정말 절망적일떄는 수술까지 받아야합니다.
그러니까... 척추가휘어도 본인탓 하지마세요


(IP보기클릭)114.70.***.***
하지만 반듯한 허리 가지고 디스크 터지면 자기 탓이죠?
(IP보기클릭)118.235.***.***
요약 : 작성자 산데비스탄 낌
(IP보기클릭)58.29.***.***
디스크는 그렇죠 ㅋㅋ
(IP보기클릭)58.29.***.***
서요? 말고 아저씨 굽힐수있어요? 라고 물어봐야죠 서있는 상태로 고정되있는걸요
(IP보기클릭)106.101.***.***
비싼데비슷한...갸아아아악 ㄹㅇ 목숨값이잖아!
(IP보기클릭)58.232.***.***
척끼야아아아아악!
(IP보기클릭)58.29.***.***
아예 완전히 하나도 맞는부분없이 다른거에요
(IP보기클릭)118.235.***.***
(IP보기클릭)58.232.***.***
척끼야아아아아악!
(IP보기클릭)114.70.***.***
하지만 반듯한 허리 가지고 디스크 터지면 자기 탓이죠?
(IP보기클릭)58.29.***.***
디스크는 그렇죠 ㅋㅋ | 24.04.02 14:56 | | |
(IP보기클릭)123.142.***.***
디스크랑 척추측만이랑은 다른거였어? | 24.04.02 15:00 | | |
(IP보기클릭)58.29.***.***
아예 완전히 하나도 맞는부분없이 다른거에요 | 24.04.02 15:01 | | |
(IP보기클릭)211.220.***.***
척추 휘는거랑 디스크 터지는거랑은 다른거죠 하지만 자세를 올바르지 않게 앉으면 생기는것 같음 ㅋㅋㅋ | 24.04.02 15:09 | | |
(IP보기클릭)123.142.***.***
척추 움직임 때문에 디스크가 터지는걸로 알았어! | 24.04.02 15:09 | | |
(IP보기클릭)112.169.***.***
측만은 척추가 한쪽으로 휘어있는거, 디스크는 척추 사이에 충격을 완화해주는 디스크액이 터져서 신경을 누르는거 | 24.04.02 15:12 | | |
(IP보기클릭)112.169.***.***
그 척추를 막 쓰면 터지는게 디스크 맞아 | 24.04.02 15:13 | | |
(IP보기클릭)211.220.***.***
허리디스크는 심하지 않으면 자연회복 가능합니다 바르게 걷기나 신전운동 해주면 좋음 | 24.04.02 15:34 | | |
(IP보기클릭)112.223.***.***
(IP보기클릭)118.235.***.***
요약 : 작성자 산데비스탄 낌
(IP보기클릭)106.101.***.***
참한우유통
비싼데비슷한...갸아아아악 ㄹㅇ 목숨값이잖아! | 24.04.02 14:58 | | |
(IP보기클릭)218.235.***.***
요약: 작성자 산데비스탄 없으면 살 수 없음 | 24.04.02 14:59 | | |
(IP보기클릭)106.101.***.***
밀리테크꺼임? 제타테크꺼임? 아라사카꺼임? | 24.04.02 14:59 | | |
(IP보기클릭)211.193.***.***
(IP보기클릭)58.29.***.***
나 기사단
다리꼬는게 편한 당신... 혹시? | 24.04.02 14:57 | | |
(IP보기클릭)175.213.***.***
(IP보기클릭)121.179.***.***
(IP보기클릭)58.29.***.***
... 그거 후만증.... | 24.04.02 14:58 | | |
(IP보기클릭)122.32.***.***
(IP보기클릭)211.234.***.***
(IP보기클릭)58.29.***.***
서요? 말고 아저씨 굽힐수있어요? 라고 물어봐야죠 서있는 상태로 고정되있는걸요 | 24.04.02 14:59 | | |
(IP보기클릭)211.234.***.***
척 끼야아아아악 | 24.04.02 14:59 | | |
(IP보기클릭)1.221.***.***
끼아아아아악 ㅜ | 24.04.02 15:47 | | |
(IP보기클릭)59.30.***.***
(IP보기클릭)118.235.***.***
(IP보기클릭)118.235.***.***
(IP보기클릭)58.29.***.***
네 본인입니다. 티타늄맨이여라 | 24.04.02 14:59 | | |
(IP보기클릭)118.235.***.***
군 입대 했다가 죽다 살아난 이야기는 읽었습니다. 여러가지로 안타깝네요... | 24.04.02 15:02 | | |
(IP보기클릭)58.29.***.***
감사합니다.. 군대떄문에 아픈건 아니지요... 결국엔 병입니다 | 24.04.02 15:03 | | |
(IP보기클릭)118.235.***.***
(IP보기클릭)118.235.***.***
장기가 눌릴정도라니 너무하다 건강하십셔 | 24.04.02 15:00 | | |
(IP보기클릭)106.242.***.***
(IP보기클릭)222.97.***.***
(IP보기클릭)58.29.***.***
맞는 말입니다. 다만 본인탓을 하지말자는거죠 ㅠㅠ 자책하는 환자분들보면 너무맘이 아파서... | 24.04.02 15:00 | | |
(IP보기클릭)112.169.***.***
(IP보기클릭)58.29.***.***
그렇슴둥 안좋은 자세는 당연히 안좋은거여라 | 24.04.02 15:02 | | |
(IP보기클릭)112.169.***.***
ㄹㅇ임 작성자가 자책하지 말라고 했지만 나는 과거의 나한테 귓뱅맹이 먹이고 싶음 -> 5살때 0.5층 높이에서 놀다가 바닥에 엉덩방아 찧음 어린 나이에 신경이 다쳤는지 일주일 넘게 아프다고 자다가 울음. 고등학생때 중2병 못이기고 2층 연결된 구름다리에서 뛰어내리고 놀음. 당연히 척추에 충격 고스란히 감. 군대에서 발 헛딛고 허리 뻐근한 증상옴. 전역 후에도 겜한다고 책상위에 발 올리고 겜함. 그리고 대망의 31살때 급성 허리염좌랑 4번 5번 요추 디스크 터짐 ㅋㅋㅋ... 그리고 살짝 측만증도 생김... | 24.04.02 15:06 | | |
(IP보기클릭)118.235.***.***
(IP보기클릭)58.29.***.***
절대 본인탓 하지말구! 병원 잘 다니시고 꼭 건강해지셔야 합니다. | 24.04.02 15:05 | | |
(IP보기클릭)118.235.***.***
(IP보기클릭)58.29.***.***
유전일수도, 기형아 일수도, 돌연변이 일수도, 자세일수도, 그어떤것일수도 있고 그 어떤것도 아닐수도 있다고 합니다. 그냥 모른데요 | 24.04.02 15:07 | | |
(IP보기클릭)175.194.***.***
(IP보기클릭)118.235.***.***
(IP보기클릭)116.33.***.***
의사 : 이게 환자분의 ㅅ발뭐야 돌려줘요입니다. 환자 : 척추 | 24.04.02 15:56 | | |
(IP보기클릭)106.101.***.***
(IP보기클릭)58.29.***.***
그게 요정일까? 혹시 그레이트 ㅆㅂ놈은 아닐까? | 24.04.02 15:18 | | |
(IP보기클릭)211.234.***.***
(IP보기클릭)1.235.***.***
(IP보기클릭)211.36.***.***
맞어 맞어… 자세는 크게 중요하지 않은것같음 근데 다른 사람들은 너 자세가 그따구니까 척추가 휘지 이런소리함… | 24.04.02 16:48 | | |
(IP보기클릭)223.39.***.***
(IP보기클릭)211.36.***.***
별루죠 | 24.04.02 18:25 | | |
(IP보기클릭)118.37.***.***